
На главную страницу
Вход для зарегистрированных пользователей
Переключиться в режим со специальными возможностями

Нейрохирургическое отделение Кировской областной клинической больницы оказывает плановую, в том числе высокотехнологичную помощь жителям Кировской области и других регионов страны. Его специалисты выполняют все современные виды оперативных вмешательств пациентам с опухолями головного и спинного мозга, сосудистыми заболеваниями головного мозга и другими патологиями центральной и периферической нервных систем. Ежегодно в отделении пролечивается около 1600 пациентов, проводится более 1500 операций. Все вмешательства осуществляются с использованием самого передового оборудования: операционного микроскопа или эндоскопической техники.
Как рассказал заведующий нейрохирургическим отделением КОКБ Михаил Конопаткин, в нейрохирургии наблюдается отчетливая тенденция к применению более щадящих, малоинвазивных методик. Совершенствуются доступы к структурам головного мозга.
– Весьма актуальной становится так называемая keyhole хирургия. «Keyhole» в переводе с английского означает «замочная скважина». Важнейший принцип такой методики – снижение травматизации ткани мозга. Минимальное повреждение мягких тканей и размер трепанационного окна позволяют адекватно щадяще выполнить операцию, и в большинстве случаев, выписать пациента через несколько дней после операции домой, – пояснил Михаил Конопаткин.
В нейрохирургическом отделении Кировской областной клинической больницы успешно внедряется keyhole-хирургия. Для выполнения соответствующих операций приобретена специальная аппаратура: силовое оборудование, нейронавигация, современный операционный микроскоп, микроинструментарий. Нейрохирурги КОКБ владеют необходимыми навыками и приемами. Соблюдение данного баланса позволяет заниматься подобной «ювелирной» нейрохирургией во благо пациента.
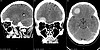
Так, специалистами КОКБ освоены и применяются малоинвазивные технологии для удаления опухолей головного мозга. Операция по технологии keyhole выполнена жительнице Кировской области. У пациентки было выявлено объемное образование основания черепа. В ходе оперативного вмешательства доступ к опухоли был выполнен через разрез вдоль брови, длиной всего в 3 сантиметра. Подход к опухоли осуществлялся по основанию черепа, то есть в пространстве между мозгом и костными структурами.
– Для расчета оптимальной траектории использовалась нейронавигация, позволившая точно определить локализацию опухоли и свести к минимуму повреждение окружающего мозгового вещества. Опухоль была удалена полностью. Радикальность удаления и отсутствие послеоперационных осложнений подтвердила контрольная компьютерная томограмма. У пациентки сохранены все двигательные, чувствительные, мнестические функции, кроме того достигнут и хороший косметический результат, – сообщил заведующий отделением.
Как отметил главный врач Кировской областной клинической больницы Вадим Ральников, малоинвазивные методики в нейрохирургии имеют бесспорные преимущества перед операциями на открытом мозге, поскольку приводят к минимальной травматизации тканей, позволяют избежать потерю функций мозга. Небольшие доступы способствуют быстрому восстановлению пациентов, сокращению сроков стационарного лечения и более ранней социальной адаптации.
– В планах отделения более широкое внедрение подобных подходов, чему особенно поможет ожидающееся осенью 2022 года приобретение нового современного операционного микроскопа с возможностью эндоскопической ассистенции. Это позволит проводить лечение даже тем пациентам, которые были признаны неоперабельными для операций на открытом мозге в силу возраста, расположения опухоли или других заболеваний, – подчеркнул главный врач.
По словам первого заместителя председателя правительства Кировской области Дмитрия Курдюмова, команда врачей Кировской областной клинической больницы являются настоящими профессионалами своего дела, постоянно повышающими свои профессиональные компетенции на благо пациентов и развития здравоохранения региона.